Surgical Repair of Pericardial Diaphragmatic Hernia in a Selkirk Rex Cat
本站
2025/3/5 4:39:11
🔍 Diagnosis and Case Analysis
During a routine health check at our hospital, an abnormal cardiac silhouette was detected in the cat’s chest X-ray. Further echocardiography and abdominal ultrasound confirmed the diagnosis of pericardial diaphragmatic hernia (PDH). This condition is a rare congenital defect. Some cases remain asymptomatic for a long time, but if abdominal organs herniate into the pericardial cavity and cause compression, it may lead to cardiac dysfunction or severe respiratory distress.
⚕️ Treatment Plan
Our hospital decided to proceed with surgical repair of the pericardial diaphragmatic hernia, along with a spay procedure during the operation.
During surgery, a 2cm diaphragmatic defect was identified, with part of the liver herniated into the pericardial cavity, forming adhesions with surrounding tissues.
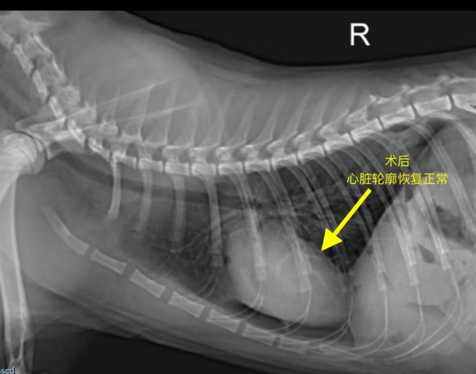
The liver was carefully separated, and the diaphragmatic defect was sutured and repaired, restoring normal thoracoabdominal anatomy.
A spay surgery was performed simultaneously to minimize the risks associated with a second anesthesia and to enhance overall recovery.
🏥 Postoperative Recovery
Day 2 post-surgery: The cat resumed eating and showed good overall condition.
1 week post-surgery: The cat returned to normal daily activities with no significant discomfort.
2 weeks post-surgery: Stitches were removed, and complete recovery was achieved.
🔹 Case Summary
This case represents a successful surgical repair of a pericardial diaphragmatic hernia in a cat. Although this condition is rare, it can have serious consequences if left untreated. Early detection through comprehensive health screening is crucial, especially before elective surgeries like spaying or neutering.
Our hospital strongly advises pet owners to seek veterinary attention if their cat shows signs of rapid breathing, reduced exercise tolerance, or other abnormal behaviors. Early diagnosis and intervention can prevent complications and ensure a healthy life for their beloved pets.
During a routine health check at our hospital, an abnormal cardiac silhouette was detected in the cat’s chest X-ray. Further echocardiography and abdominal ultrasound confirmed the diagnosis of pericardial diaphragmatic hernia (PDH). This condition is a rare congenital defect. Some cases remain asymptomatic for a long time, but if abdominal organs herniate into the pericardial cavity and cause compression, it may lead to cardiac dysfunction or severe respiratory distress.
⚕️ Treatment Plan
Our hospital decided to proceed with surgical repair of the pericardial diaphragmatic hernia, along with a spay procedure during the operation.
During surgery, a 2cm diaphragmatic defect was identified, with part of the liver herniated into the pericardial cavity, forming adhesions with surrounding tissues.
The liver was carefully separated, and the diaphragmatic defect was sutured and repaired, restoring normal thoracoabdominal anatomy.
A spay surgery was performed simultaneously to minimize the risks associated with a second anesthesia and to enhance overall recovery.
🏥 Postoperative Recovery
Day 2 post-surgery: The cat resumed eating and showed good overall condition.
1 week post-surgery: The cat returned to normal daily activities with no significant discomfort.
2 weeks post-surgery: Stitches were removed, and complete recovery was achieved.
🔹 Case Summary
This case represents a successful surgical repair of a pericardial diaphragmatic hernia in a cat. Although this condition is rare, it can have serious consequences if left untreated. Early detection through comprehensive health screening is crucial, especially before elective surgeries like spaying or neutering.
Our hospital strongly advises pet owners to seek veterinary attention if their cat shows signs of rapid breathing, reduced exercise tolerance, or other abnormal behaviors. Early diagnosis and intervention can prevent complications and ensure a healthy life for their beloved pets.
Currently, this cat has fully recovered and resumed a normal, active lifestyle. 🐾


