Let's embark on a wonderful journey of love with us
Have you heard of the “Special Nurse” at the pet hospital?😺 Her mission is to spread joy.Every day, she takes cats for walks, sunbathing sessions, and delightful grooming and cleaning.Through repeated positive interactions, she builds absolute trust.
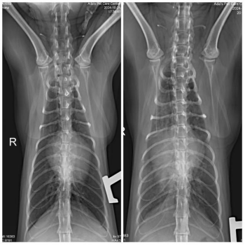
🔍 Diagnosis and Case AnalysisDuring a routine health check at our hospital, an abnormal cardiac silhouette was detected in the cat’s chest X-ray. Further echocardiography and abdominal ultrasound confirmed the diagnosis of pericardial diaphragmatic her…
This little kitten was once a stray cat, but was fortunate enough to be adopted by a kind-hearted owner. However, recently, it began showing symptoms of pain while eating, weight loss, and drooling. After an initial diagnosis, the cat was found to have ca
Case OverviewXiao Li Hua is a 4-year-old Chinese tabby cat who came to us with sudden difficulty breathing and shortness of breath. After some tests, we diagnosed it with chylothorax. We started with a staged treatment plan, and after surgery, the cat mad
Recently, our clinic treated an emergency pet, Nana, who suddenly exhibited symptoms such as rapid breathing, poor exercise tolerance, and lethargy. These signs didn’t seem like typical minor illnesses, so we immediately performed a thorough examination.I
Hematuria, or bloody urination, can be terrifying when you are uncertain what caused it in your cat. Bright red blood can be seen in the urine of cats for multiple reasons, ranging from bacterial infection to general inflammation from stress. Diagnosis of